اسباب خراج الاسنان تختلف من مريض إلى آخر، فعلى الرغم من كونه جيب مملوء بالصديد ناتج عن عدوى بكتيرية، يسبب الشعور بالألم والحمى، إلا أنه قد يظهر في أشكال مختلفة للمرضى، وبالتالي تختلف اعراضه وطرق علاجه باختلاف حالة المريض. وفي هذا المقال، سنتعرف على اسباب خراج الاسنان المختلفة في الأطفال والبالغين، كما نتعرف أيضًا على …
اسباب خراج الاسنان تختلف من مريض إلى آخر، فعلى الرغم من كونه جيب مملوء بالصديد ناتج عن عدوى بكتيرية، يسبب الشعور بالألم والحمى، إلا أنه قد يظهر في أشكال مختلفة للمرضى، وبالتالي تختلف اعراضه وطرق علاجه باختلاف حالة المريض.
وفي هذا المقال، سنتعرف على اسباب خراج الاسنان المختلفة في الأطفال والبالغين، كما نتعرف أيضًا على اسباب خراج الاسنان المتكرر بالتفصيل.
اسباب خراج الاسنان
التعرف على اسباب حدوث خراج الاسنان هي خطوة أولية يقوم بها الطبيب خلال الفحص؛ من أجل معرفة نوع العلاج المناسب في هذه الحالة، وتسبب التهابات الأسنان البكتيرية تكوّن خراجات الأسنان التي عادًة ما تحدث نتيجة عدم الاهتمام بنظافة الأسنان أو إصابة الأسنان.
ويمكن أن تؤدي إصابة الأسنان أو التسوس إلى حدوث ثقب في المينا الواقية للأسنان، وفي بعض الحالات، يصل هذا الثقب إلى لب السن الداخلي، حيث توجد الأعصاب والأوعية الدموية والأنسجة.
تدخل البكتيريا إلى السن من خلال هذا الثقب أو من خلال المينا الضعيفة، وتهاجم اللب وتسبب العدوى البكتيرية، ويُسمى الخراج الناتج خراج محيطي، يمكن أن تُصاب الأسنان المتشققة أو المكسورة أو التالفة بأي شكل من الأشكال بالعدوى، وتحدث هذه الإصابات دائماً بصورة عرضية يصعب منعها.
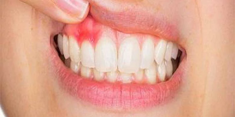
من اسباب خراج الاسنان أيضًا تكوّن خراج في اللثة، حيث أن الإصابة بأيًا من أمراض اللثة يمكن أن يشكل خراجات اللثة، والتي قد تؤدي إلى التهاب اللثة وإصابتها بالعدوى.
إصابة اللثة هي الأخرى أحد مسببات تكوّن خراج الاسنان، والذي يمكن أن يحدث نتيجة تعلق قطعة من الطعام بين اللثة والسن، أو نتيجة خدش اللثة، باستخدام عود أسنان في هذه الحالة.
اقرأ المزيد عن علاج خراج الاسنان

اسباب الخراج المتكرر في الاسنان
في بعض الحالات، تتكرر إصابة خراج الاسنان بدون أن يعرف المريض اسباب تكوّنه مرة أخرى، من هنا، يجيبنا أطباء الأسنان المتخصصين موضحين أن اسباب تكرار خراج الاسنان هي عدم علاج السبب الرئيسي لظهور الخراج، سواء كان هذا السبب هو عدم علاج عصب الضرس بطريقة صحيحة، أو كان جذر العصب مكشوف وتسبب في تكون خراج وغيرها من الأسباب.
يخبرنا الأطباء أن المشكلة لا تقف عند هذا الحد، فعدم علاج خراج الأسنان بطريقة صحيحة يمكن أن يتسبب في الإصابة بالناسور، وفيه يخرج الصديد من داخل العظام لخارجها، وفي حال لم يتم علاجه بطريقة صحيحة، يمكن أن يمتد تأثيره إلى العصب، ومنه إلى الجلد واللثة، مما يتسبب في التهابات متكررة في اللثة، والتي غالبًا ما تؤدي إلى الإصابة بمضاعفات تنتهي بتساقط الأسنان.
يخبرنا الأطباء أيضًا أن تأثير الناسور المتكون في الفم يمتد إلى خارجه، ليؤثر على الصحة العامة والعظام والكلى والرحم والمفاصل، ويظهر هذا التأثير بشكل واضح عند تعرض المريض لعملية زراعة عضو جديد، ورفض الجسم لهذا العضو نتيجة وجود بؤر في مناطق مختلفة من الجسم، من هنا، يجب استئصال هذه البؤر من الجسم قبل الخضوع لعملية زراعة عضو ما؛ حتى لا يتم رفضه.
لتجنب كل هذه المضاعفات، يذكرنا الأطباء بأهمية علاج السبب الرئيسي المؤدي لوجود الخراج، وعدم الاكتفاء بعلاج الخراج في كل مرة يتكرر فيها، بالإضافة إلى ضرورة تجنب اسباب الخراج في الاسنان، والعناية بصحة الفم.
اسباب خراج الاسنان عند الاطفال
اسباب خراج الاسنان عند الاطفال الصغار لا يتخلف كثيرًا عن اسباب ظهور خراج الاسنان لدى البالغين، حيث أن خراجات الأسنان عند الأطفال تحدث لأسباب مختلفة، من بينها:
- سوء نظافة الأسنان، حيث تتسبب في تكوّن خراج الأسنان، فعندما لا يتم تنظيف أسنان الطفل ولثته بانتظام باستخدام فرشاة أسنان ناعمة وخيط تنظيف الأسنان، يتراكم البلاك، مما يؤدي إلى تسوس الأسنان المسبب لخراج الأسنان.
- اتباع نظام غذائي غني بالأطعمة السكرية والحمضية، يساهم في تدهور مينا الأسنان، مما يزيد من خطر تكوّن الخراج.
- الإصابات الجسدية في فم الطفل، مثل الأسنان المكسورة أو المتشققة، والتي يمكن أن تتسبب في ظهور خراج الأسنان، في حال دخلت البكتيريا إلى المنطقة المتضررة.
- إذا لم يتم علاج مشكلة قناة الجذر بصورة صحيحة، فإن ذلك يتسبب في تكوّن العدوى، مما يترك الطفل عرضة للإصابة بالخراج حول الذروة.
- وجود بعض الحالات الطبية والاستعدادات الوراثية التي تؤدي إلى تفاقم خطر الإصابة بـ خراجات الأسنان لدى الأطفال، على سبيل المثال، الأطفال الذين يعانون من ضعف في جهاز المناعة بسبب العلاجات الطبية أو الحالات الوراثية يكونون أكثر عرضة للإصابة بالعدوى البكتيرية، بما في ذلك تلك التي تصيب الأسنان واللثة.
اسباب خراج الاسنان وعلاجه
ذكرنا فيما سبق اسباب خراج الاسنان، وعرفنا أن العدوى البكتيرية التي تحدث بسبب البكتيريا هي المسبب الرئيسي لتكوّن خراج الاسنان، لكن هل توجد بعض العوامل التي يزيد معها خطر الإصابة بخراج الأسنان، والجواب هو نعم، وأهم هذه العوامل ما يلي:
- جفاف الفم: هي أحد مسببات تسوس الأسنان، والتي غالبًا ما تحدث بسبب الشيخوخة أو كأثر جانبي لأنواع معينة من الأدوية.
- اتباع نظام غذائي عالي السكر: في كثير من الأحيان، تناول الأطعمة التي تحتوي على الكثير من السكر مثل المشروبات الغازية والحلويات يمكن أن يؤدي إلى خراج الأسنان.
- سوء نظافة الأسنان: يتمثل ذلك في إهمال استخدام فرشاة الأسنان أو استخدام خيط الأسنان.
بالنسبة لطريقة علاج خراج الأسنان، فتشمل خيارات العلاجات المتبعة في هذه الحالة ما يلي:
- عمل شق وتصريف الصديد: في هذا الإجراء، يقوم الطبيب بعمل شق صغير في اللثة؛ لتصريف الخراج، مما يسبب الراحة الفورية للمريض.
- علاج قناة الجذر: خلال هذا الإجراء، يقوم الطبيب بتنظيف الجزء الداخلي من السن أو الضرس، وملئه بمادة معينة؛ ليحافظ على هيكله ووظيفته.
- خلع السن: هو الإجراء الأخير المتبع في حالة عدم إمكانية علاج قناة الجذر، في هذه الحالة، يكون من الضروري إزالة السن التالف.
تعرف أكثر على خراج الأسنان

مضاعفات خراج الأسنان
من أشهر المضاعفات المحتملة التي يمكن أن يعاني منها المريض إذا أهمل العلاج ولم يهتم بالخراج ما يلي:
- فقدان السن.
- انتشار العدوى إلى عظم الفك.
- عدوى الدم.
- انتشار العدوى إلى الأنسجة الرخوة.
- وصول العدوى إلى مناطق أخرى من الجسم.
في الختام، اسباب خراج الاسنان عديدة ومختلفة، وكلها تصب في تكوّن عدوى بكتيرية في الفم، هذه العدوى تصل إلى السن مسببة الخراج، وتحتاج هذه المشكلة إلى علاج فوري وسريع؛ من أجل منع حدوث المضاعفات المؤذية التي يمكن أن تؤثر على المريض بصورة دائمة، وذلك من خلال استشارة مركز الدكتورة اسراء السعيد لطب الفم والأسنان، لذا، كل ما عليك فعله الآن هو حجز استشارتك.
إليك المزيد من المعلومات عن شكل خراج الاسنان
احجز معادك
مركز دكتور اسراء السعيد






